DR. HÁTSÁGI IMPLANT FOGÁSZAT
Mi az a cirkónium-oxid és mire használjuk?
Precíz diagnosztika, modern kezelések és személyre szabott megoldások pácienseink számára.
Mi az a cirkónium-oxid és mire használjuk?
A cirkónium-oxid a cirkonium nevű elem oxidja, oxigénnel alkotott vegyülete. Nagyon kemény, szilárd anyag, amely még az acélt is képes metszeni.
A cirkónium-oxid ellenálló, magas hajlítószilárdságú és keménységű anyag, tulajdonképpen porcelán,a hajlítószilárdsága kb. tízszerese a hagyományos porcelánénak.
Milyen területeken használják a cirkónium-oxidot?
1. Cirkon koronák készítése
A cirkónium-oxid korona – valójában cirkónium-oxid vázas, porcelánnal leplezett korona – alkalmazása esetén a fogágy védelme biztosított, és nem kell tartani az íny visszahúzódásától, vagy gyulladásától, mint a hagyományosan előkészített fogak esetén.

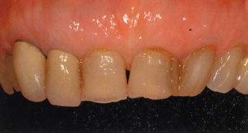
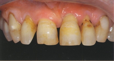
Elszíneződött, kopott fogak

Cirkon váz

Cirkon-kerámia koronák

Elszíneződött, kopott fogak

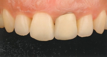
UV fényben sem látható eltérés
a természetes fog és a cirkon
korona között

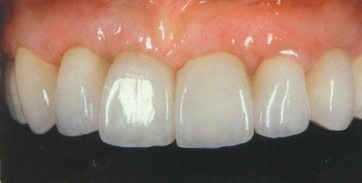
Tökéletes esztétikájú fémmentes
cirkon-kerámia korona
2. Cirkon héjak készítése
A cirkon héj a frontfogak ajak felé eső felszínét fedő, vékony fogpótlás. Tökéletes választás a kisebb formai hibák, elszíneződések, gyökérkezelt fogak vagy kisebb szúvasodások elrejtésére. Döntően a fokozott esztétikai igények kielégítését szolgálja. A cirkon héj az egyik legkeményebb a készíthető héjak közül.

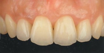
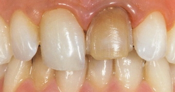
Bal felső elszíneződött
nagy metsző

Előkészített bal felső nagymetsző

Cirkon-kerámia héj a
bal felső nagymetszőn
3. Implantációs beavatkozások során koronák és héjak készítése
Implantátumok felépítményeként a cirkon kerámia tökéletes választás. Megfelelő feszes ínnyel körülvéve az implantátum melletti ínygyulladás un. periimplantitis kialakulását jelentősen csökkenti, ezzel növeli az implantátumok élettartamát. A pótlások nagyon hasonlítanak a természetes fogakhoz, szinte észrevehetetlen a különbség. A felépítmény lehet borítókorona, híd, de akár teljes lemezes kivehető fogpótlás is.

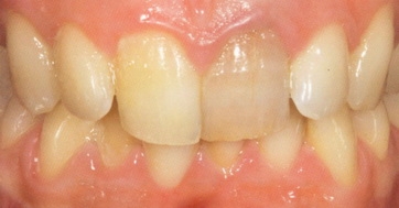
Fogágybetegség

A hat frontfog eltávolítása után
a két nagy metsző és a két szemfog
helyére implantátumok kerültek

Felső front fémmentes cirkon-kerámia híd

A csontszövetbe implantátum
csavart ültetnek

Az implantátum csavarra
ráhelyezik az elkészített
fog belső vázát

A fog belső vázára
cirkon korona kerül

